Les caries blanches : un avertissement silencieux de votre santé dentaire
Introduction
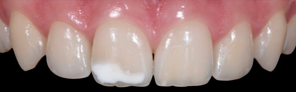
Beaucoup de patients découvrent un jour, en se regardant dans le miroir, de petites taches blanches sur leurs dents. Bien que discrètes, ces marques sont souvent le premier signe d’une carie en formation. À ce stade, une prise en charge rapide permet d’éviter des traitements plus lourds et de préserver la dent de manière durable.
Au Cabinet Dentaire de Vitrolles, nos praticiens insistent sur l’importance de la détection précoce. Grâce à des technologies modernes et à une approche préventive, nous aidons nos patients à renforcer leur émail et stopper la progression des caries blanches avant qu’il ne soit trop tard.

1. Carie blanche : qu’est-ce que c’est vraiment ?
Les caries blanches sont en réalité le stade initial d’une carie dentaire.
Elles se manifestent par une déminéralisation de l’émail, c’est-à-dire une perte de calcium et de phosphore due à l’acidité produite par les bactéries de la plaque dentaire.
1.1. Comment se forme la carie blanche ?
- Les bactéries présentes dans la bouche transforment les sucres en acides.
- Ces acides attaquent progressivement l’émail, le rendant poreux.
- Le calcium se dissout, créant une tache blanchâtre matte : la carie blanche.
Si rien n’est fait, cette zone poreuse s’étend jusqu’à atteindre la dentine : c’est la carie classique, souvent douloureuse.
1.2. Où apparaissent-elles le plus souvent ?
- Au niveau du collet des dents (près des gencives)
- Sur les faces visibles des incisives ou des canines
- Dans les sillons profonds des molaires
- Autour des appareils orthodontiques ou des bagues
2. Les causes des caries blanches : un déséquilibre bucco-dentaire
2.1. Une hygiène insuffisante
Le manque de brossage ou un brossage mal adapté entraîne l’accumulation de plaque bactérienne, responsable de la déminéralisation.
2.2. Une alimentation trop sucrée ou acide
Les sodas, jus de fruits industriels et grignotages fréquents exposent les dents à des attaques acides répétées.
2.3. Une salive insuffisante
La salive joue un rôle essentiel de protection et de reminéralisation. Une bouche sèche (liée à certains médicaments ou à l’âge) augmente le risque.
2.4. Des facteurs liés à l’orthodontie ou aux soins dentaires
Chez les personnes portant un appareil, le nettoyage est souvent plus difficile, ce qui favorise l’apparition de ces taches blanches autour des bagues.
2.5. Une hygiène inadaptée chez les enfants et adolescents
Les jeunes sont particulièrement exposés car leurs habitudes alimentaires et d’hygiène ne sont pas toujours optimales.
3. Comment reconnaître une carie blanche
Les caries blanches passent souvent inaperçues car elles ne provoquent pas de douleur.
Pourtant, certains signes doivent alerter :
- Tache blanche opaque sur l’émail
- Perte de brillance ou aspect crayeux
- Sensibilité légère au froid ou au sucre
- Tache qui s’étend ou devient brune avec le temps
Seul un examen dentaire professionnel peut confirmer la nature de la lésion et proposer un traitement adapté.
4. Diagnostic au Cabinet Dentaire de Vitrolles
4.1. Examen clinique minutieux
Le dentiste observe la dent sous lumière spécifique pour repérer les zones déminéralisées.
4.2. Radiographie numérique
Elle permet de vérifier la profondeur de la lésion et de s’assurer que la dentine n’est pas atteinte.
4.3. Technologies de détection précoce
Le Cabinet Dentaire de Vitrolles utilise des outils modernes comme la fluorescence dentaire, qui révèle les caries invisibles à l’œil nu.
4.4. Bilan personnalisé
Chaque patient bénéficie d’un diagnostic global : hygiène, habitudes alimentaires, flux salivaire… pour cibler les causes et adapter la prévention.
5. Comment traiter une carie blanche ?
5.1. La reminéralisation : première étape essentielle
L’objectif principal est de renforcer l’émail pour stopper la progression.
Le dentiste peut proposer :
- Des applications locales de fluor (vernis, gels, bains de bouche)
- Des produits reminéralisants à base de calcium et phosphate
- Un traitement à domicile avec dentifrice ou mousse reminéralisante
5.2. L’infiltration de résine : traitement innovant et indolore
Lorsque la tache est visible mais non cavitaire, le dentiste peut appliquer une résine transparente qui pénètre l’émail et scelle la zone poreuse.
- Technique sans anesthésie
- Résultat esthétique immédiat
- Prévention durable contre l’évolution de la carie
5.3. En cas d’évolution avancée
Si la déminéralisation atteint la dentine, une obturation classique (plombage) ou une micro-restauration esthétique devient nécessaire.
6. Prévenir les caries blanches : la clé du succès
6.1. Adopter une hygiène irréprochable
- Brossez-vous les dents au moins deux fois par jour pendant 2 minutes.
- Utilisez un dentifrice fluoré et un fil dentaire chaque soir.
- Complétez avec un bain de bouche anti-bactérien si nécessaire.
6.2. Rééquilibrer son alimentation
- Évitez les boissons sucrées et snacks fréquents.
- Privilégiez les repas complets et les fruits croquants.
- Buvez de l’eau après chaque repas pour neutraliser l’acidité.
6.3. Stimuler la salivation
Mâcher du chewing-gum sans sucre après les repas favorise la salivation et aide à reminéraliser naturellement.
6.4. Contrôles réguliers chez le dentiste
Une visite tous les 6 mois permet d’intervenir à temps, avant que la tache blanche ne devienne une véritable carie.
7. Les caries blanches chez les enfants et adolescents
Les jeunes patients sont particulièrement sujets à ces lésions.
Le Cabinet Dentaire de Vitrolles propose des séances de prévention et d’éducation à l’hygiène adaptées :
- Apprentissage du brossage efficace
- Applications de fluor en cabinet
- Scellement des sillons sur les molaires permanentes
- Conseils nutritionnels adaptés à chaque âge
8. Les avantages d’une prise en charge précoce
- Prévention des caries profondes et des soins invasifs
- Conservation maximale de la dent naturelle
- Résultat esthétique immédiat
- Accompagnement personnalisé selon vos habitudes et votre âge
- Suivi à long terme pour maintenir la santé bucco-dentaire
Nos dentistes privilégient des solutions douces, préventives et modernes, adaptées aussi bien aux enfants qu’aux adultes.
9. Témoignages de patients
🗣️ Sophie, 29 ans : « J’ai remarqué une tache blanche sur ma dent de devant. Le dentiste m’a proposé une infiltration de résine et le résultat est bluffant : plus aucune trace, sans douleur ! »
🗣️ Marc, 47 ans : « Je faisais souvent des taches blanches à cause de mon alimentation. Le cabinet m’a aidé à corriger mes habitudes et mes dents sont redevenues lisses et brillantes. »
🗣️ Camille, 14 ans : « Après mon traitement d’orthodontie, j’avais plusieurs taches blanches. Le dentiste a appliqué un soin spécial et elles ont disparu. »
Conclusion : la prévention, votre meilleure alliée contre les caries blanche
Les caries blanches sont le premier signal d’alerte de votre bouche. Ignorées, elles peuvent évoluer rapidement en caries profondes. Détectées à temps, elles se traitent facilement, sans douleur et sans altérer la dent.
Au Cabinet Dentaire de Vitrolles, notre mission est d’aider chaque patient à préserver la santé, la beauté et la solidité de ses dents grâce à des soins modernes, préventifs et personnalisés.
🦷 Un contrôle régulier vaut mieux qu’une carie à soigner !
Prenez rendez-vous dès aujourd’hui pour un bilan bucco-dentaire complet et gardez un sourire éclatant, sain et durable.

Article Précédent
Article Suivant